ГлавнаяСтатьи → Какой анализ покажет эпилепсию?
Эпилепсия – неврологическое заболевание, характеризующееся повторяющимися приступами, вызванными аномальной электрической активностью в мозге. Лечение направлено на снижение частоты и интенсивности приступов. Диагностика эпилепсии требует комплексного подхода, ведь не существует одного анализа, который однозначно покажет заболевание. Подробно рассмотрим методы диагностики эпилепсии, современные подходы к ее лечению, включая медикаментозные, хирургические и немедикаментозные, уделим особое внимание немецкому препарату Осполот, его механизму действия, показаниям и преимуществам применения.

Какой анализ покажет эпилепсию?

Что такое фокальная эпилепсия?

Фокальная эпилепсия – распространенная форма эпилепсии, характеризующаяся тем, что приступы возникают в определенной, локализованной области мозга, а не охватывают его целиком, как при генерализованных приступах. Эта ограниченная область мозга, в которой начинается приступ, называется эпилептогенным очагом. Симптомы фокальных приступов могут значительно варьироваться в зависимости от того, какая именно область мозга затронута и насколько широко распространяется аномальная электрическая активность.
эпилепсия диагностика лечение
эпилепсия диагностика лечение
Например, если эпилептогенный очаг находится в двигательной коре, то приступ может проявляться в виде непроизвольных движений в одной конечности или половине тела. Если затронута сенсорная кора, то пациент может испытывать необычные ощущения, такие как покалывание, онемение или визуальные галлюцинации. В случае поражения височной доли, приступы могут сопровождаться сложными поведенческими реакциями, такими как автоматизмы (непроизвольные повторяющиеся действия), изменения настроения или нарушения памяти.
Важно отметить, что фокальные приступы могут быть как простыми (без потери сознания), так и сложными (с нарушением сознания). В некоторых случаях фокальный приступ может перерасти в генерализованный, охватывая весь мозг и приводя к потере сознания и судорогам.
Точная диагностика и определение типа фокальной эпилепсии критически важны для выбора эффективного лечения и улучшения качества жизни пациента. При подозрении на фокальную эпилепсию необходимо обратиться к
врачу для проведения комплексного обследования, включающего ЭЭГ (анализ электрической активности мозга) и МРТ (для исключения структурных изменений). Лечение, как правило, медикаментозное, с использованием противоэпилептических препаратов, таких как Осполот.
генерализованный судорожный приступ
генерализованный судорожный приступ
генерализованная эпилепсия
генерализованная эпилепсия

Диагностика эпилепсии: комплексный подход

Точная диагностика эпилепсии имеет решающее значение для выбора оптимального лечения. Не существует одного анализа, который бы однозначно показал эпилепсию. Вместо этого, врачи используют комплексный подход, сочетающий в себе сбор анамнеза, неврологический осмотр, нейрофизиологические и нейровизуализационные методы.

Цель диагностики – не только подтвердить наличие эпилепсии, но и определить ее форму, выявить возможные причины и спланировать индивидуальную стратегию лечения для пациента. Важно помнить, что только квалифицированный врач может поставить точный диагноз и назначить соответствующую терапию.

Сбор анамнеза и неврологический осмотр

Первым и важным этапом диагностики является тщательный сбор анамнеза. Врач подробно расспрашивает пациента или его родственников о характере приступов, их частоте, продолжительности, сопутствующих симптомах, возможных провоцирующих факторах, а также о наличии эпилепсии в семейном анамнезе. Особое внимание уделяется описанию приступов, поскольку это может помочь определить тип эпилепсии и локализацию эпилептогенного очага. Неврологический осмотр позволяет оценить состояние нервной системы пациента и выявить возможные неврологические нарушения, которые могут быть связаны с эпилепсией или указывать на ее причину.
ээг при эпилепсии
ээг при эпилепсии

Электроэнцефалография (ЭЭГ)

ЭЭГ – это основной метод анализа электрической активности мозга и ключевой инструмент в диагностики эпилепсии. Во время ЭЭГ на голову пациента накладываются электроды, которые регистрируют электрические потенциалы, генерируемые нейронами. Запись ЭЭГ позволяет выявить аномальную электрическую активность, характерную для эпилепсии, такую как эпилептиформные разряды, пики, острые волны или медленные волны. Эти признаки эпилепсии на ЭЭГ могут быть обнаружены как во время приступа, так и в межприступный период. Существуют различные виды ЭЭГ.
Вот таблица, отражающая различия между видами.
эпилепсия изменения на ээг
эпилепсия изменения на ээг
Вид ЭЭГ Продолжительность Преимущества Недостатки
Рутинная ЭЭГ 20-30 минут Стандартный метод, относительно недорогой и быстрый в проведении Может не выявить аномальную активность, если она возникает редко или кратковременно
Длительная ЭЭГ Несколько часов или дней Повышает вероятность обнаружения эпилептиформной активности, особенно у пациентов с редкими приступами Требует больше времени и ресурсов, чем рутинная ЭЭГ
Видео-ЭЭГ мониторинг Несколько часов или дней Позволяет сопоставить электрическую активность мозга с клиническими проявлениями приступа, высокая точность диагностики. Требует специализированного оборудования, является более дорогостоящим методом. Пациенту необходимо длительное пребывание в стационаре
Диагностика эпилепсии ЭЭГ требует квалифицированной расшифровки.

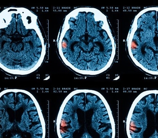
Магнитно-резонансная томография (МРТ) головного мозга

Магнитно-резонансная томография (МРТ) головного мозга
диагностика эпилепсии ээг
приступ эпилепсии на ээг
МРТ – это метод нейровизуализации, который позволяет получить детальное изображение структуры мозга. МРТ используется для выявления возможных структурных причин эпилепсии, таких как опухоли, сосудистые мальформации, атрофия гиппокампа, кортикальные дисплазии или рубцовые изменения. Результаты МРТ могут помочь определить тип эпилепсии и планировать хирургическое лечение, если оно необходимо.

Другие методы исследования

В дополнение к вышеперечисленным методам, врач может назначить другие анализы и исследования для уточнения диагноза и определения причины эпилепсии, включая:
Важно помнить, что нормальные результаты ЭЭГ или МРТ не исключают диагноз эпилепсии. В некоторых случаях требуется проведение повторных исследований или использование более сложных методов диагностики. Опыт врача играет ключевую роль в интерпретации результатов анализов и установлении точного диагноза.
Компьютерную томографию – (КТ) головного мозга. КТ может быть использована для быстрого исключения острых состояний, таких как кровоизлияние или травма головного мозга.
Анализ крови. Необходим для исключения метаболических нарушений, инфекций и других состояний, которые могут вызывать судороги.
Однофотонную эмиссионную компьютерную томографию (ОФЭКТ) и Позитронно-эмиссионную томографию (ПЭТ). Эти методы позволяют оценить метаболическую активность мозга и выявить области с аномальным кровоснабжением или потреблением глюкозы, что может указывать на эпилептогенный очаг.

Лечение фокальной эпилепсии: разнообразие подходов

Лечение фокальной эпилепсии: разнообразие подходов
Лечение фокальной эпилепсии должно быть индивидуальным, учитывающим тип приступов, частоту их возникновения, наличие сопутствующих заболеваний, возраст и пол пациента.
ээг мониторинг эпилепсии
ээг мониторинг эпилепсии

Медикаментозное лечение эпилепсии

Медикаментозное лечение эпилепсии
Медикаментозная терапия с использованием антиконвульсантов (противоэпилептических препаратов) является основным методом лечения эпилепсии.
Цель медикаментозной терапии – предотвратить или уменьшить частоту и тяжесть приступов, обеспечивая пациенту возможность вести полноценную и активную жизнь. Существует множество антиконвульсантов, и выбор конкретного препарата зависит от нескольких факторов, включая:
тип эпилепсии;
возможные побочные эффекты;
возраст пациента;
тип приступов;
взаимодействие с другими лекарствами.
наличие сопутствующих заболеваний;
обследования эпилепсии ээг
Инструкция
Купите необходимый препарат в нашем сервисе и получите его в ближайшую к вам аптеку.

Осполот 200 мг, 200 таблеток

Срок годности: 03/2027

73 400 руб.
  1  

Осполот 50 мг, 200 таблеток

Срок годности: 02/2027

28 600 руб.
  1  

Осполот 200 мг, 50 таблеток

Срок годности: 03/2027

18 800 руб.
  1  

Осполот 50 мг, 50 таблеток

Срок годности: 03/2027

8 600 руб.
  1  
Важно понимать, что подбор препарата и его дозировки – это индивидуальный процесс, требующий тесного сотрудничества между пациентом и врачом.

Успех медикаментозного лечения эпилепсии во многом зависит от правильного выбора препарата. В некоторых случаях пациенты достигают полного контроля над приступами с помощью одного антиконвульсанта (монотерапия). Если монотерапия оказывается неэффективной, врач может назначить комбинацию нескольких препаратов.
Самостоятельное изменение дозировки или прекращение приема препарата может быть опасным и привести к учащению приступов. Перед внесением каких-либо изменений в схему лечения, необходимо получить консультация врача.
В процессе подбора препарата и его дозировки, врач тщательно оценивает эффективность лечения, а также отслеживает возможные побочные эффекты. Лечение эпилепсии – длительный процесс, который требует терпения и настойчивости как от пациента, так и от врача. Регулярные визиты к врачу и соблюдение всех его рекомендаций являются ключевыми для достижения успешного результата.
Важность индивидуального подбора дозировки антиконвульсанта невозможно переоценить. Дозировка должна быть подобрана индивидуально для каждого пациента, исходя из его веса, возраста, функции почек и печени, а также чувствительности к препарату. Слишком низкая дозировка может быть неэффективной, в то время как слишком высокая может вызывать побочные эффекты. В процессе лечения врач может периодически проводить анализ крови, чтобы контролировать концентрацию препарата в ней и убедиться, что она находится в терапевтическом диапазоне.
данные ээг эпилепсия
данные ээг эпилепсия

Хирургическое вмешательство

Хирургическое вмешательство
Хирургическое лечение рассматривается в тех случаях, когда медикаментозная терапия неэффективна (если выявлена медикаментозно-резистентная эпилепсия).

Существуют различные виды хирургических вмешательств при эпилепсии, включая резекцию эпилептогенного очага (удаление области мозга, вызывающей приступы), каллозотомию (рассечение мозолистого тела, соединяющего полушария мозга) и имплантацию нейростимуляторов.

Как и любое хирургическое вмешательство, операции при эпилепсии сопряжены с определенными рисками и возможными осложнениями, включая кровоизлияние, инфекцию и неврологические нарушения.
ээг головного мозга при эпилепсии
ээг головного мозга при эпилепсии

Немедикаментозные методы лечения

Кетогенная диета – это диета с высоким содержанием жиров, умеренным содержанием белков и низким содержанием углеводов. Она может быть эффективна для контроля приступов у некоторых пациентов, особенно у ребенка с фармакорезистентной эпилепсией.

Психотерапия и поведенческие методы могут помочь пациентам с эпилепсией справиться со стрессом, тревогой и депрессией, которые часто сопровождают это заболевание. Это важно для подростков, испытывающих трудности с адаптацией к заболеванию.

Важно понимать, что все немедикаментозные методы – дополнительные. Они используются только для повышения эффективности лекарственной терапии.

Можно ли полностью избавиться от приступов?

Вопрос о возможности полного излечения от эпилепсии является сложным и индивидуальным. Роль регулярного мониторинга состояния здоровья – ключевая. При правильном и регуляторном применении немецкого Осполота (сультиам), можно добиться положительной динамики.

Осполот (Сультиам) – противоэпилептический препарат, разработанный в Германии. Он используется для лечения различных форм эпилепсии, особенно фокальной эпилепсии. Немецкий Осполот славится своим качеством и хорошей переносимостью.
Осполот обычно назначают в комплексной терапии эпилепсии, особенно при фокальных приступах, резистентных к другим антиконвульсантам. Он также может быть эффективен при некоторых формах генерализованной эпилепсии.

В сравнении с некоторыми другими противоэпилептический препаратами, Осполот лучше переносится и реже вызывает появление побочных эффектов. Доказанные результаты свидетельствуют о снижении частоты приступов при применении Осполота.
Осполот оказывает угнетающее влияние на моторные центры коры мозга, увеличивая судорожный порог и предотвращая возникновение эпилептических приступов. Точный механизм его действия до конца не изучен, но предполагается, что он связан с ингибированием фермента карбоангидразы.
кетогенная диета при эпилепсии у детей
кетогенная диета при эпилепсии у детей
Осполот принимают внутрь, обычно 2-3 раза в день. Дозировка подбирается индивидуально врачом, в зависимости от возраста пациента, типа эпилепсии и эффективности лечения. Важно строго следовать рекомендациям врача и не превышать назначенную дозу.
Как и любой лекарственный препарат, Осполот может вызывать побочные эффекты, такие как сонливость, головокружение, головная боль, тошнота, рвота и кожная сыпь – проявляются на этапе привыкания, а затем исчезают.
Осполот противопоказан при индивидуальной непереносимости сультиама, острой порфирии и тяжелой почечной или печеночной недостаточности. Важно помнить, что цена на сультиам (Осполот) может варьироваться. Немецкий Осполот стоит дороже, но он имеет доказанную клиническую эффективность.
диета при эпилепсии у взрослых меню
диета при эпилепсии у взрослых меню
Инструкция
Оставьте Ваши данные и менеджер свяжется с Вами в течение 5 минут!
Заказать
1

Эффективен при парциальных приступах

Используется при роландической эпилепсии, височной эпилепсии, синдроме Ландау-Клеффнера, синдроме псевдо-Леннокса, ESES.
2

Хорошо изучен

Сультиам был разработан компанией Bayer в 1950-х годах и запущен как Ospolot в Европе и на других рынках в начале 1960-х.
3

Результативность доказана

Клинические исследования показывают эффективность Осполота при отдельных формах эпилепсии. Так, у 80% пациентов отмечается исчезновение спаек на ЭЭГ после начала терапии.
4

Немецкое качество

Производитель препарата - немецкая компания Desitin, которая существует с 1919 г. и специализируется на разработке и производстве лекарств против эпилепсии.

Покупка препарата Осполот в России

мрт при эпилепсии
мрт при эпилепсии
Если вам или вашим близким назначен препарат Осполот, вы можете приобрести его у нас. Мы предлагаем только качественный и сертифицированный немецкий Осполот по доступным ценам. Привозим препарат напрямую из Германии.

Почему стоит выбирать немецкий Осполот и купить его у нас:
Прямые поставки от производителя. Гарантия качества и подлинности препарата.
Низкие цена и быстрое обслуживание. Предлагаем выгодные цены и обеспечиваем оперативную обработку заказов.
Удобство заказа. Оформите заказ в любое время и из любой точки страны.
мрт мозга при эпилепсии
мрт мозга при эпилепсии
Оставьте Ваши данные и менеджер свяжется с Вами в течение 5 минут!
КУПИТЬ В 1 КЛИК
Оформите заказ на Осполот на сайте, позвоните нам или напишите в чат в правом нижнем углу экрана.
После с вами свяжется оператор для  подтверждения заказа. Ежедневно с 9.00 до 23.00 по мск.
Доставка по выбранному адресу в Москве и Санкт-Петербурге - 250 руб за 1 день. В регионы РФ - от 450 руб за 2 - 4 дня.
Расскажем коротко о том, как купить Осполот в Москве. Заказать Осполот в Москве, а также с доставкой в другие регионы России очень просто. Войдите на наш сайт и оформите заказ онлайн. После создания заявки вам перезвонит оператор. Доставка осуществляется быстро – в течение 1-4 дней в зависимости от региона. Купить Осполот можно без дополнительных сложностей.
Лечение эпилепсии – сложный процесс, требующий индивидуального подхода и тесного сотрудничества между пациентом и врачом. Важно помнить, что современные методы диагностики и лечения позволяют большинству пациентов с эпилепсией достичь контроля над приступами и вести полноценную жизнь. Поддержка со стороны близких и медицинских специалистов играет важную роль в процессе лечения и адаптации к жизни с эпилепсией.

Получите консультацию

Получите консультацию
Остались вопросы об Осполоте и его заказе?

Запишитесь на бесплатную консультацию! Наш специалист перезвонит вам в течение 5 минут.
Записаться на консультацию
мрт головного мозга при эпилепсии
мрт головного мозга при эпилепсии
На Главную
© Осполот, 2018-2026
ИМЕЮТСЯ ПРОТИВОПОКАЗАНИЯ,
НЕОБХОДИМА КОНСУЛЬТАЦИЯ СПЕЦИАЛИСТА